年富力强的小刘,刚过40岁,最近却连爬楼梯都成了难题,心慌气短,甚至有濒死感。作为家中的顶梁柱,上有老下有小,他不敢大意,急忙来到郑大五附院心血管内科二病区就诊。梁雪主任为他安排了心脏彩超,结果提示心脏室壁明显增厚,考虑为肥厚型心肌病。随后,一项关键的检查——心脏负荷/激发超声心动图,最终诊断小刘为 “隐匿性梗阻型肥厚型心肌病” 。
一、什么是肥厚型心肌病?
它为何危险?
肥厚型心肌病,可以简单理解为心脏肌肉(主要是左心室)在无明显原因下异常增厚。这本该增强心脏力量,却可能带来两大问题:
心脏空间变小:厚实的肌肉挤压了泵血空间,导致每次搏出的血液减少。
可能造成“堵塞”:增厚的心肌(尤其是室间隔)在收缩时,可能推挤二尖瓣这个“单向阀门”,使其在心脏泵血的流出道上形成“挡板”,造成血流通道梗阻。这就像水管里长了个疙瘩,水流不畅。
这种 “左心室流出道梗阻”,正是导致患者胸闷、气短、头晕、晕厥甚至猝死的主要原因。

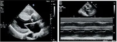
肥厚的左心室壁 二尖瓣运动曲线

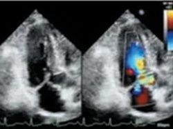
左室流出道彩色血流

左室流出道血流速度
二、“隐匿性梗阻”:平静下的致命隐患
有些肥厚型心肌病非常“狡猾”。在平静状态下做普通心脏超声,血流速度正常,看不出明显梗阻,可能被归为“非梗阻性”。然而,危险就潜伏于此!
当剧烈运动、情绪激动、用力时,心脏收缩力增强,那个“挡板”效应就可能突然出现或加剧,导致流出道瞬间狭窄,血流受阻,血压骤降,引发严重症状甚至猝死。
如何揪出这个“隐形杀手”?
答案就是心脏超声激发试验。
三、心脏超声激发试验:如何“逼”出隐藏的梗阻?
这项检查的核心,是在严密的医疗监护下,安全地模拟心脏高负荷状态,同时用超声实时观测心脏变化。
检查如何“激发”?
基础准备:如同常规心脏彩超,先记录静息时的心脏数据和血流速度。
关键激发:通过安全方式增加心脏负荷。常用方法包括:
①简易激发(如Valsalva激发、蹲起激发):Valsalva激发试验无侵入性且操作简便,是HCM患者检测LVOTG常用的方法之一,目标导向Valsalva对于隐匿性梗阻检出率接近运动负荷。

目标导向Valsalva 设备

目标导向Valsalva 操作过程
②运动激发(如踏车运动、平板运动):是目前推荐的较准确的负荷试验方法。但是在运动中图像采集困难,较难做到连续观测。
③药物激发(亚硝酸异戊脂吸入):患者大剂量吸入亚硝酸异戊脂后可出现颜面潮红、搏动性头痛、心动过速等不良反应。因此,目前临床不推荐药物作为首选的负荷试验方法。
实时监测:医生会全程紧盯屏幕,测量关键指标——左心室流出道压力阶差(LVOTG),即血流通过狭窄处的压力差。
判断标准:
梗阻性:静息时LVOTG ≥ 30 mmHg。
隐匿梗阻性:静息时LVOTG < 30 mmHg,但激发后 ≥ 30 mmHg。
非梗阻性:静息及激发后LVOTG均 < 30 mmHg。
重度梗阻:静息或激发后LVOTG ≥ 50 mmHg,需特别关注。
四、这项检查为何至关重要?
激发试验的结果,是制定精准治疗方案的 “决策基石”:
明确诊断:为有症状(如不明原因晕厥)但静息超声正常的患者提供确诊依据。
风险评估:识别出猝死高风险人群,需要更严密监控。
指导治疗:
若无梗阻,治疗以控制症状为主(如使用β受体阻滞剂)。
若存在(隐匿性)梗阻且压差高,则需考虑更具针对性的治疗,如外科室间隔心肌切除术或酒精室间隔消融术,从根本上解除梗阻。
评估疗效:用于评估药物或手术是否真正解除了梗阻。
五、做这个检查安全吗?
整体而言,该检查安全性较高,严重并发症(如死亡、心脏骤停)极为罕见。医生会严格评估,确保适合进行检查。
来源:超声诊断科 周 英
党委宣传统战部编辑整理