郑老太太已经84岁高龄,平时感觉身体挺好,走路活动、干一些杂活不在话下。20天前的一个下午突然出现两只脚疼痛、麻木、发凉,再也无法行走活动。子女非常孝顺,立刻带着老太太去县医院看病,一做彩超发现两条腿的动脉血管都是血栓。考虑到老太太年纪大,当地医院连夜将老太太转至郑州大学五附院。经过下肢CTA、心电图、心脏彩超等的相关检查,及心血管内科、呼吸重症学科专家协同会诊,诊断为“双下肢急性动脉栓塞”,当晚即安排急诊手术。手术成功取出大量血栓。术后,老太太两条腿的症状很快缓解。手术后1周,老太太已经恢复了正常行走。此时,老太太突发右手麻木、发凉。经检查右上肢动脉从腋窝部位以远都堵塞了,考虑心脏的栓子又发生了脱落。医生紧急安排取栓治疗,最终右上肢恢复良好,目前老人已康复出院。

▲ 图1:CTA提示左侧髂动脉、股、腘动脉栓塞,右侧股总股浅动脉栓塞

▲ 图2:左足紫绀,右足皮色苍白

▲ 图3:术中取出大量血栓

▲ 图4:CTA提示左侧腋动脉及肱动脉栓塞
科普:冬季是心脑血管疾病的高发季节,而急性动脉栓塞是其中的一种急危重疾病,指栓子自心脏或近侧动脉壁脱落进入动脉,被血流推向远侧,阻塞动脉血流而导致肢体、器官缺血以至坏死的一种病理过程,因发病急骤而得名。病情发展迅速,在过去,多因为就诊延误而导致较高的死亡率及截肢率,近年来,随着基层医生的认识提高,诊断率及诊断效率逐渐提升。
急性动脉栓塞最常病因是心源性,过去以风湿性心脏病为主,近年来,以心房颤动为主要发病原因。由于心脏血流的不规则流动,易在心房之内形成血栓,血栓脱落形成栓子,远端导致栓塞。其次发病原因为血管源性动脉瘤和动脉硬化粥样物质形成的栓塞。少见的有医源性心脏人工瓣膜置换和人工血管移植、动脉造影、血液透析的动静脉瘘、动脉内留置导管,这些都可能引起动脉栓塞的发生。
认识急性肢体动脉栓塞临床表现,是早期就诊、早期诊断的根本措施,主要表现为:
1、疼痛(Pain);
2、感觉异常(Paraesthesia);
4、皮温降低(Poikilothermia);
5、动脉搏动减弱或消失(Pulselessness);6、运动障碍(Paralysis)。
简称6P征,非常典型,所以诊断并不困难,关键在于认识到该疾病的特点。如果延迟治疗会出现肢体缺血坏死。

▲ 图5 下肢缺血坏死肢体

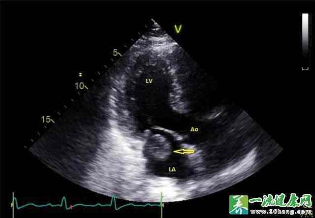
▲ 图6 彩超下左心房血栓
肢体动脉栓塞治疗的关键在于预防,对于房颤、风湿性心脏病、心肌梗死室壁瘤病人,最重要的是预防措施,就是口服抗凝、抗血小板聚集药物,比如阿司匹林、华法林、利伐沙班等药物,防止心脏内血栓形成,另外需要定期复查心脏彩超,筛查有无血栓情况。
栓塞病人的预后取决于原发疾病,这类病人往往合并有严重的心脑血管或肺部疾病,这是导致该病高死亡率的原因,治疗不应该局限于栓塞的治疗,尤其需要重视心脑血管疾病、肺部疾病的治疗,多学科会诊治疗是保证病人顺利康复的主要措施。肢体动脉栓塞的治疗效果,与栓塞的部位、栓塞的发病时间、处理方案是否得当息息相关。随着栓塞时间的延长,会逐渐出现肌肉组织、神经、皮肤等坏死,感染、毒素吸收都会危急生命。治疗方案有动脉切开取栓,动脉吸栓,置管溶栓等方法,依据病人的病情,发病情况,身体状态进行选择。
作为一家综合性省级三甲医院,郑州大学五附院拥有雄厚的医疗实力,在疾病多学科综合诊治上有着非常高的水平。血管外科作为省内龙头科室,在“高危病人”、“高危疾病”的诊治有着非常丰富的临床经验,竭诚为广大患者倾心诊治。
来源:血管外科 李阳
宣传科编辑整理